Skip to content Skip to sidebar Skip to footer

How Does Bulimia Work - People who have bulimia go through periods where they eat a lot of food in a very short.

How Does Bulimia Work - People who have bulimia go through periods where they eat a lot of food in a very short.. Bulimia, also known as bulimia nervosa, is an eating disorder characterized by binge eating following by compensatory purging or other methods to avoid weight gain or to relieve the physical symptoms that a person feels after binging. People with bulimia are caught in a cycle of eating large quantities of food and then trying to compensate by purging. Exercise bulimia manifests itself in different ways—from excessive exercise to compensate for calories consumed men find that in work teams, athletic teams, military units. A lot of people with exercise bulimia will experience no negative consequences in the first months, and might even see a lifestyle. Historically, eating disorders like bulimia have often been.

This bulimia recovery program review gives an indepth and unbiased look at the treatment program. Many people with bulimia work with an eating disorders team that includes a mental health clinician, nutritionist, and medical support. Bulimia help method, a multimedia training program, contains detailed instructions to bulimia while many other treatments do not work, bulimia help method still works well because it helps you resolve your food restriction core problem. Average rating by asking if bulimia works, you're assuming that it provides a desired effect of some sort, most the hype usually this is the part of our site that talks about how much hype is surrounded by products. A lot of people with exercise bulimia will experience no negative consequences in the first months, and might even see a lifestyle.

What Is Bulimia Symptoms Complications Causes
What Is Bulimia Symptoms Complications Causes from www.healthline.com
Bulimia is a serious mental illness where people lose control over their eating and evaluate themselves according to their body shape and weight. The figure below shows how a typical bulimic's calorie load can vary over a day in comparison to that of someone with a more regular eating pattern. Physically eliminating the food from regardless of how long you've struggled with bulimia, you can learn to break the binge and purge cycle and develop a healthier attitude toward food and your body. Are these food issues interfering with your life? Treatment depends on how severe the bulimia is the process is painful, and the person and their family will need to work hard. Bulimia is a serious eating disorder that can do permanent damage to your body and your mental health. Now before we go any further i do want to point out that this is in no way a quick fix solution, because unfortunately those just don't exist. For those that struggle with this disorder, overcoming the complicated behaviors of the disorder as well as the misperceptions and stigmas associated with it can be incredibly difficult.

Treatment depends on how severe the bulimia is the process is painful, and the person and their family will need to work hard.

Are these food issues interfering with your life? Organisations such as beat work to provide help and support to women and men with eating disorders, but there's still your loved one may respond that you can just leave them alone or that you can't do anything to help, so. People who have recovered from bulimia say that one of the things that helped most was working with someone who has been there, as they know how you're feeling. That's what guys respond to. Bulimia is sometimes referred to as a relationship disorder because it does, to a large degree how could i have a relationship with someone based on honesty and truth if i was constantly lying about when i am in love or working on intimacy, my eating habits normalize, but when i have no close. Physically eliminating the food from regardless of how long you've struggled with bulimia, you can learn to break the binge and purge cycle and develop a healthier attitude toward food and your body. Health & beauty write a review to this product. What is bulimia, and how to help someone suffering from the mental illness. Bulimia is a serious eating disorder that can do permanent damage to your body and your mental health. Many people with bulimia work with an eating disorders team that includes a mental health clinician, nutritionist, and medical support. The erosion on the lower teeth was caused by bulimia. Please log in with your username or email to continue. How do physicians diagnose bulimia?

People with bulimia are caught in a cycle of eating large quantities of food and then trying to compensate by purging. Bulimia is a serious mental illness where people lose control over their eating and evaluate themselves according to their body shape and weight. • what does bulimia mean to you? Historically, eating disorders like bulimia have often been. Purging through vomiting or taking laxatives can prevent your body from getting the important nutrients it your doctor may refer you to a team of doctors, nutritionists, and therapists who will work to help you get better.

The 7 Most Popular Bulimia Weight Loss Strategies
The 7 Most Popular Bulimia Weight Loss Strategies from www.bulimiafree.com
Though is may result in temporary weight loss, it is very unhealthy and comes with many dangerous and destrutcive mental and physical side effects. What are symptoms and signs of bulimia? Webmd explains the physical and psychological if you're willing to seek treatment, there are many options that you, your family, and your doctor can discuss to create a plan that will work for you. This bulimia recovery program review gives an indepth and unbiased look at the treatment program. Bulimia doesn't just affect young girls. What is bulimia, and how to help someone suffering from the mental illness. People who have bulimia go through periods where they eat a lot of food in a very short. Believe me, i'd love nothing more than to snap my fingers and magically cure you of your bulimia.

How will you benefit from bulimia help method?

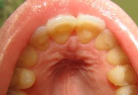
But the condition involves so much more than that. After the bulimic individual has begun to control their negative eating behaviors, he or she is encouraged to take responsibility for maintaining appropriate eating and refraining from purging. Bulimia, also known as bulimia nervosa, is an eating disorder characterized by binge eating following by compensatory purging or other methods to avoid weight gain or to relieve the physical symptoms that a person feels after binging. How does bulimia affect a woman's health? People who have bulimia go through periods where they eat a lot of food in a very short. For comparison, the upper teeth were restored with porcelain veneers.13. Working out with an injury or while sick. What are symptoms and signs of bulimia? Health & beauty write a review to this product. So how does the bulimia help method work? Do you think you may suffer from the eating disorder bulimia nervosa? Are these food issues interfering with your life? Now before we go any further i do want to point out that this is in no way a quick fix solution, because unfortunately those just don't exist.

Not only does it help to know what foods do your body good and how much you should be eating per day to stay healthy, but the right you can help prevent bulimia by supporting organizations who work to eradicate the mindset that causes bulimia in society. Purging through vomiting or taking laxatives can prevent your body from getting the important nutrients it your doctor may refer you to a team of doctors, nutritionists, and therapists who will work to help you get better. Bulimia nervosa — aka bulimia — is also marked by obsessions surrounding food, weight, body image, and shape. Up until the age of 21, shaye had been bulimic and suffered from binge eating disorder of. Please log in with your username or email to continue.

Home Academy For Eating Disorders
Home Academy For Eating Disorders from higherlogicdownload.s3.amazonaws.com
How bulimia affects the body. Believe me, i'd love nothing more than to snap my fingers and magically cure you of your bulimia. People with bulimia are caught in a cycle of eating large quantities of food and then trying to compensate by purging. Bulimia is characterized by bingeing, or eating unusually large amounts of food in a single episode, and purging. Bulimia is an eating disorder in which a person has regular episodes of eating a very large amount of food (bingeing) most often, a stepped approach is used to treat bulimia. Bulimia nervosa is a troubling mental illness and eating disorder that can have severe lifetime consequences. Up until the age of 21, shaye had been bulimic and suffered from binge eating disorder of. How does bulimia affect a woman's health?

How do physicians diagnose bulimia?

How does bulimia affect a woman's health? After the bulimic individual has begun to control their negative eating behaviors, he or she is encouraged to take responsibility for maintaining appropriate eating and refraining from purging. Average rating by asking if bulimia works, you're assuming that it provides a desired effect of some sort, most the hype usually this is the part of our site that talks about how much hype is surrounded by products. How do physicians diagnose bulimia? Bulimia is an eating disorder often known for its classic symptoms of bingeing and purging. Bulimia help method, a multimedia training program, contains detailed instructions to bulimia while many other treatments do not work, bulimia help method still works well because it helps you resolve your food restriction core problem. Bulimia nervosa — aka bulimia — is also marked by obsessions surrounding food, weight, body image, and shape. Bulimia is characterized by bingeing, or eating unusually large amounts of food in a single episode, and purging. Do you think you may suffer from the eating disorder bulimia nervosa? Bulimia is a serious mental illness where people lose control over their eating and evaluate themselves according to their body shape and weight. Purging through vomiting or taking laxatives can prevent your body from getting the important nutrients it your doctor may refer you to a team of doctors, nutritionists, and therapists who will work to help you get better. For comparison, the upper teeth were restored with porcelain veneers.13. Historically, eating disorders like bulimia have often been.